お問い合わせ
ご予約はコチラ
0480-24-6480

一般歯科とは

一般歯科とは基本的には歯科診療全般を指します。
診療科目には、一般歯科、矯正歯科、小児歯科、歯科口腔外科の4つがあり、主にむし歯の治療や歯周病の治療、欠けてしまった歯の治療(歯牙欠損部の補綴)や義歯(入れ歯の製作や修理)などを主に指します。保険内診療の一般的な治療全般のを指すこともあります。

保険内診療ってなんだろう?

痛くない虫歯の治療・久喜駅いしはた歯科

いしはた歯科クリニックは、保険内診療を前提として治療を行います。
ですが歯科の保険内診療はあくまで国が定めた「今、とりあえず最低限度で咬める状態までの治療」であり、咬むことの快適さや将来の口腔内は考慮されていません
小さな虫歯であれば保険診療でも良いとは思いますが、大きな虫歯や歯の根っこの治療(根管治療)で何度も何年も治療を繰り返すなら良い材料の自由診療(保険適用外)での治療の方が良い場合もあります。
患者さまに丁寧な説明と、無理強いすることなく良い治療を提案させて頂きます。

いしはた歯科クリニック初めての方へ

歯科治療は、患者さまのご納得と歯科医師への信頼あって成立するものと考えております。
患者さまへのご理解を頂いた上で治療を進めるために、

  1. どんな治療の進め方をするのか?
  2. 何度くらい通院する必要があるのか?
  3. 今日の治療ですること
  4. 今日の治療でどうだったか?

を、説明するように心がけいたします。
ご要望や不安な点や、「他の医院でちょっと合わないようなことがあった」などあれば、診療時や問診票の時に「ちょっと相談してから治療を受けたい」と仰っていただくとスムーズにカウンセリングへご案内頂けます。
分からないことがあればお気軽に聞いて下さい。

ご予約はこちらから

いしはた歯科クリニックは患者さんへの声がけや気遣いを意識した
優しい・相談しやすい・わかりやすい説明をモットーに診療しております。

むし歯のこと

歯科医師 藤木健吾
KENGO.FUJIKI

どうしてむし歯になるの?

むし歯は口の中の細菌(プラークに潜むミュータンス菌など)によって歯を溶かされた状態です。この細菌(むし歯菌)は砂糖をはじめとした糖分が大好きです。むし歯菌は口の中に入った糖分を好んで食べてしまいます。その排泄物が酸であり、この酸が歯を溶かしてむし歯になります。

健康な状態の歯のイラスト 久喜市のいしはた歯科クリニック
歯科医師 高橋明寛
AKIHIRO.TAKAHASHI

健康な歯の状態とは

むし歯になっていない健康な歯の状態です。
歯みがきは意外と皆さん癖があり、みがき残しやジュースや間食による歯の再石灰化をする時間が短くなることでむし歯になってしまいます。
定期検診にて歯科医師による検診と、歯科衛生士による歯石除去や正しいブラッシング指導を受け、健康な口腔内を維持しましょう。

むし歯レベル1

初期の虫歯・いしはた歯科

歯の一番表層にあたるエナメル質に穴が開いた状態です。
この段階では痛みがないのでむし歯に気づきにくいですが、れっきとしたむし歯です。早めの治療であれば痛みを感じず、かつ費用も少なくて済みます。むし歯菌に侵された部分を取った後、その穴をコンポジットレジンという白いプラスチックの材料を埋めることで、見た目よく治すことが可能です。

このような歯は通常1回で済ませることができ、
処置の費用は1本1,100円~2,200円(税込)ほどで治すことができます。
(保険適応の場合)

むし歯レベル2

象牙質に達したむし歯・久喜いしはた歯科

むし歯レベル1の状態でしばらく放置した状態です。
治療を行わなかったせいで、エナメル質の下にある象牙質にむし歯が達してしまいました。
歯がしみるなどの症状が出はじめます。この段階であれば比較的簡単な治療です。
痛みもなく終わるか、あるいは麻酔もよく効くので無痛治療が可能なことがほとんどです。

むし歯レベル3

歯髄(神経)に達したむし歯
歯科医師 川崎貴裕
TAKAHIRO.KAWASAKI

むし歯が神経に達した状態です。痛みやしみるのも強い症状が出ます。
治療には麻酔が必要で、この状態になると歯の神経を取ったり(根管治療)、歯の大掛かりな修復が必要になる場合が多く治療の回数は最低でも4~5回はかかり、軽度のむし歯の治療であるコンポジットレジンやインレーよりも費用がかかり、5回以上の治療が必要となり、
治療費は合計で10,000円以上の費用が必要になります。
(保険適応の場合)

むし歯レベル4

歯質が失われたう蝕・いしはた歯科
理事長 石幡 一樹
KAZUKI.ISHIHATA

神経が死んでしまった状態です。強い痛みはありませんが、噛むと痛みや違和感があったり、膿(うみ)が溜まって顔がはれたり、細菌が血管を通り全身に影響をおよぼす可能性があります。隣接する歯にも影響があります。

このような状態の治療は中を洗浄・消毒してむし歯菌を除菌する治療を行います。場合によっては歯を抜く必要性が出てきます。

放置期間が長ければ長いほど体への悪影響も大きい上、治療回数、費用ともに多くかかります。可能な限り一刻も早い治療をお勧めします。
治療費の合計は程度によって幅があり、5回以上の治療が必要となり、
治療費は合計で10,000円以上の費用が必要になります。
(保険適応の場合)

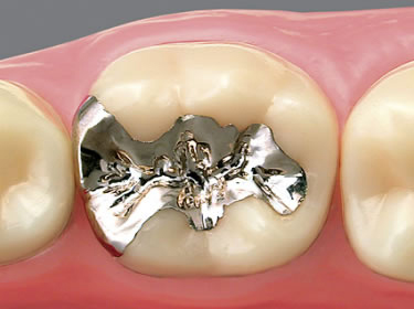
治療費について インレー(詰め物)の費用

メタルインレー 保険適応

久喜市のいしはた歯科クリニック メタルインレー
虫歯の再発リスク 銀歯と歯の間の隙間から二次的な虫歯になりやすい
耐久性 硬さはあるが長年の使用で金属が歯や歯茎に溶けだし、骨を腐食させてしまう
審美性 写真を撮る時歯が光る可能性あり
金属アレルギーや歯茎を黒く変色させる可能性あり
保証 なし

※初診費用、虫歯などの治療費は別途かかります
※治療箇所により前後します

ゴールドインレー 55,000円(税込)1歯 保険外

久喜市のいしはた歯科クリニック ゴールドインレー
虫歯の再発リスク 細菌が寄り付かず、 二次的な虫歯になりにくい
耐久性 徐々に自分の口になじんでフィットし、長期安定が期待できるので、奥歯には理想的な被せ物です
審美性 機能性は高いのですが色が金なので、口を開けたとき目立ちます
保証 5年

金属アレルギーのリスクがある。
歯質との境界部に2次う蝕が発生するリスクがある。
金属表面が露出するため、審美性が不良である。
※初診費用、虫歯などの治療費は別途かかります
※治療箇所により前後します

ハイブリットインレー 33,000円(税込)1歯 保険外

久喜市のいしはた歯科クリニック ハイブリッドインレー
虫歯の再発リスク プラスチックを配合しているので金属アレルギーの心配もなく、二次的な虫歯になりにくい
耐久性 奥歯に使用すると割れる危険性あり
前から4~5番目の歯に最適
審美性 天然歯本来の透明感が再現出来て美しい
保証 5年

※初診費用、虫歯などの治療費は別途かかります
※治療箇所により前後します

セラミックインレー 55,000円(税込)1歯 保険外

久喜市のいしはた歯科クリニック セラミックインレー
虫歯の再発リスク 全体がセラミックのため金属アレルギーの心配もなく、二次的な虫歯になりにくい
耐久性 奥歯に使用すると割れる危険性あり
前から4~5番目の歯に最適
審美性 ハイブリットインレーより透明感がある
保証 2年

※初診費用、虫歯などの治療費は別途かかります
※治療箇所により前後します

治療費について クラウン(被せ物)の費用

メタルボンドクラウン 110,000円(税込)1歯 保険外

久喜市のいしはた歯科クリニック メタルボンドクラウン
虫歯の再発リスク 本来の歯とフィット感が優れていて、2次的な虫歯になりにくい。
耐久性 内側に金属を使用しているため強度は高く、磨耗もしにくい
審美性 金属をセラミックで覆うため自然な歯の透明感が出せないこともあるが、変色しない
保証 5年

※初診費用、虫歯などの治療費は別途かかります

ゴールドクラウン 88,000円(税込)1歯 保険外

久喜市のいしはた歯科クリニック ゴールドクラウン
虫歯の再発リスク 細菌が寄り付かず、 二次的な虫歯になりにくい
耐久性 徐々に自分の口になじんでフィットし、長期安定が期待できるので、奥歯には理想的な被せ物です
審美性 機能性は高いのですが色が金なので、口を開けたとき目立ちます
保証 5年

歯質に近似した硬さなので咬み合わせが馴染みやすいが、咬耗する。
延性があるため、歯質と適合しやすい。
金属アレルギーのリスクがある。
歯質との境界部に2次う蝕が発生するリスクがある。
金属表面が露出するため、審美性が不良である。
※初診費用、虫歯などの治療費は別途かかります

保証に関して

保証に関して 久喜市のいしはた歯科クリニック

自由診療では、患者さんの通常使用において問題が生じた場合作り直す費用は、インレー、ブリッジ、クラウン全て5年間 当院が保証いたします。
但し、当医院の3~4ヶ月の定期検診プログラムを受診されている患者様に限ります。

悪くなってから治療するよりも早めの治療で費用を安く抑えられます

悪くなってから治療するよりも早めの治療で費用を安く抑えられます 久喜市のいしはた歯科クリニック

むし歯は症状が進行すればするほど治療費もどんどんかさんでいきます。これは治療が複雑になっていくこと、かぶせ物や詰め物の範囲が大きくなっていくこと、範囲が大きいほど使用する材料が金属やセラミックなどの耐久性があり高価な材料にしなければならないことなどの理由が挙げられます。

さらにむし歯の進行が進むほど、治療後の歯を残せる期間は短くなります。当院は患者様の経済的負担を軽減するように、早期発見、
早期治療を行えるために定期的な診療による予防を推奨いたします。

初期段階のむし歯治療

早めの処置でその後が大きく変わります

早めの処置でその後が大きく変わります 久喜市のいしはた歯科クリニック

初期段階の治療では、歯をあまり削らず詰め物をする治療を当院ではお勧めしております。詰め物というと一般的には金属の詰め物を使用しますが、金属の詰め物ですとお口を開いた時に中の金属が見えてしまう事に抵抗を感じる方もいらっしゃると思います。
当院でお勧めしている詰め物は、コンポジットレジン(保険適応)という白い詰め物です。適応が可能な限りこちらを使用いたしますので、口を開いた時に金属の色が見えることがありませんのでご安心ください。

むし歯治療と術後のケア

定期検診・久喜いしはた歯科

治療後とても大切なのは術後のケアです。
せっかく治療してもケアがおざなりになってしまっては、また再発する恐れがあります。
当院では再発防止とお口の中の環境維持として、定期的な歯科健診をお勧めしております。

一般歯科診療とは何ですか?
歯科医院の治療全般(むし歯・歯周病・入れ歯(義歯の作製や調整)のこと。保険内治療の全般を指すことから歯科一般・歯科などと表記されることもあります。
一般歯科はどこまで治療してくれますか?
一般的な口腔内の保険内治療全般が行えます。ほとんどの歯科医院では保険診療を前提に治療します。治療箇所によっては保険適用外の提案をされることもあるでしょう。問診票などに治療希望(保険内での治療か自由診療も含める治療を希望するか)の記載を求められることもあります。
なぜ歯医者は急に行っても診てくれないの?
お痛みがある場合、治療の箇所は炎症を起こしています。まずは応急処置とお薬を処方して腫れが引いてから処置をする場合がほとんどです。また、患者さまのご持病やアレルギー、飲んでいるお薬などを把握し、事前の準備を行うために「予約制」にしている歯科もあります。
歯医者 一週間に一回 なぜ?
保険診療の場合、厚生労働省によって治療できる範囲や回数が決められています(保険上の制約)。診断を行う根拠や経過の記録が義務付けられており、治療には一定の期間と回数がかかります。保険適用外の自由診療であれば制限はありません。
一般歯科と予防歯科の違いは何ですか?
一般歯科は4つの診療科目の1つで、歯科(歯科一般もしくは歯科・一般歯科)、小児歯科、矯正歯科、歯科口腔外科の4つがあります。予防歯科は造語で診療メニューの1つになり患者の誤解を生む懸念からホームページや看板での使用は医療広告ガイドラインで禁じられています。
ご予約はこちらから

いしはた歯科クリニックは患者さんへの声がけや気遣いを意識した
優しい・相談しやすい・わかりやすい説明をモットーに診療しております。

© 2012 医療法人社団 樹伸会 いしはた歯科クリニック
久喜の歯医者・いしはた歯科クリニック
PAGE
TOP
クリップボードにコピーしました